SORRISI

Un bel sorriso aumenta la nostra autostima e rende migliori le nostre giornate. Sentirsi bene con i propri denti ci fa sentire più sicuri di noi stessi e più sereni nel modo in cui ci rapportiamo con gli altri. Oggi sempre più pazienti si affidano a tecniche conservative per cambiare il proprio sorriso, puntando sull’estetica del sorriso per emergere nella propria vita sociale. L’ortodonzia invisibile attraverso mascherine trasparenti è la soluzione ideale per i pazienti adulti che non vogliono rinunciare ad un bel sorriso allineato ed armonico.

La cura dei nostri denti è fondamentale. La prevenzione delle malattie dei denti e gengive è ovviamente molto importante. Fornire una giusta motivazione e le regole per una corretta igiene orale domiciliare sono di competenza dell’igienista dentale. Prevenire le problematiche dentali in età infantile è il modo migliore per ridurre i problemi in età adulta.

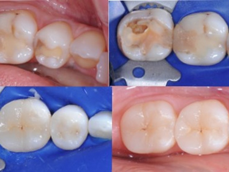
Trattamento di denti affetti da carie, con rifacimento dei restauri mediante otturazioni estetiche in composito ed intarsi in ceramica. Prima e dopo.

Riabilitazione di tutti i denti superiori, mediante corone in ceramica senza metallo. Il nuovo sorriso di due pazienti soddisfatte. Prima e dopo.

Altro sorriso con problemi estetici per una esposizione eccessiva di tessuto gengivale. Il vecchio sorriso in alto, il nuovo sorriso in ceramica sotto.

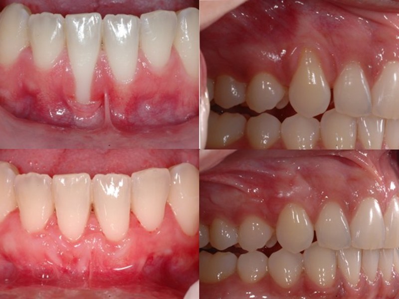
Sopra: due pazienti affetti da fastidiose e anti estetiche recessioni gengivali (gengive che si ritirano). Sotto: situazione clinica risolta.